赤羽橋駅4分 麻布十番駅6分 曽根田歯科診療室 麻布十番・赤羽橋 English available

BLOG
歯周病で「抜歯が必要」と言われた歯は本当に残せる?
麻布十番・赤羽橋で歯周病治療をご検討の方へ、抜歯と診断された歯が本当に残せるのか、その判断基準を歯科医の視点から解説します。
「歯周病が進行しているので、この歯は抜歯が必要です」
と言われたことはありませんか?
歯周病は進行すると歯を支える骨が失われ、最終的には歯を残すことが難しくなる病気です。
そのため、一定の状態になると抜歯が選択されることも少なくありません。
しかし実際には、
すべてのケースで抜歯が必要というわけではありません。
適切な診断と治療によって、
条件が揃えば保存可能なケースもあります。
一方で、無理に残すことで周囲の歯や全体の状態を悪化させてしまうこともあります。
当院では
**「残せるかどうか」ではなく「長期的に安定するか」**
という視点で治療方針を判断しています。
※この記事は「抜歯と言われた歯」シリーズの歯周病ページです。
抜歯と言われた歯は残せる?(判断基準はこちら)
むし歯が原因の場合は
むし歯で抜歯と言われた歯は残せる?(むし歯の場合はこちら)
根っこが原因の場合は
根管治療で抜歯と言われた歯は残せる?(根管治療の場合はこちら)
歯周病で抜歯が検討されるのは、主に以下のような状態です。
これらは一般的に「予後不良」と判断されやすい状態です。
一見すると抜歯が必要に見える歯でも、
以下のような条件がある場合は保存できる可能性があります。
特に重要なのは
「どのように骨が失われているか」と「付着の残り方」です。
同じ「重度歯周病」と言われる状態でも、
骨の残り方や付着の状態によって予後は大きく変わります。
以下のようなケースでは、無理に歯を残すことで
周囲の歯や全体の状態を悪化させる可能性があります。
このような場合は
長期的な安定を考え、抜歯を選択することが重要です。
歯周病は、むし歯のように細菌だけで進行する病気ではありません。
体の免疫反応や生活習慣、全身状態などの影響を受けながら進行する病気です。
近年の歯周病分類(ステージ・グレード分類)でも、
進行度だけでなく、進行リスクや個体差が重視されています。
歯周病は以下のような要因によって大きく影響を受けます。
同じような骨吸収でも、これらの条件によって治療結果は大きく変わります。
歯周病では、見た目が似ている症例でも
保存できるかどうかの判断が異なることがあります。
例えば
一方で
つまり
歯の状態だけでなく「全身・局所を含めた反応」を見て判断する必要があります。
歯周病の治療では、単にクリーニングや歯石除去を行うだけでは不十分です。
治療に対する反応を評価することが重要です。
当院では
を確認しながら
**「この歯は本当に改善しているのか」を見極めます。**
当院の歯周病の初期治療の例

昨今、再生療法が注目されがちですが、最も重要なのは歯周基本治療です。
適切なブラッシングや歯間清掃、そして非外科的に感染源を除去することで炎症は改善します。
本症例では、歯石やバイオフィルムの除去と清掃習慣の改善により、
✅出血率が84%から7%まで改善しました。
✅歯肉の見た目にも明らかな変化が認められます。
歯周病のリスクは固定ではありません。
例えば
こうした変化によって
それまで安定していた歯が悪化することもあります。
当院では
初診時の状態だけでなく、治療後やメンテナンス中の変化も含めて判断します。
そのため
重要なのは
「状態」ではなく「反応と経過」を診ることです。
実際に当院で歯を保存できた症例をご紹介します。
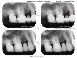
症例1 当院の歯周基本治療と咬合調整により歯を保存できた症例

術前は、黄色い線で示すように隣在歯にまたがる骨欠損(2壁性骨欠損)が認められました。
このような骨欠損形態では、再生療法の予知性は必ずしも高くないと考えられます。
また、本症例では咬合による影響が関与している可能性があったため、
骨形態だけでなく「力のコントロール」が重要と判断しました。
そのため、外科的介入は行わず、歯周基本治療と咬合調整を優先しました。
その結果、炎症の改善とともに骨レベルの回復が認められました。
✅7年経過しても安定した状態を維持しています。
また、このような骨欠損形態では再生療法の予知性が低いと考えられるため、
✅適切な診断により治療法を選択することの重要性が示唆されます。
症例2 歯周再生療法を行い骨回復を認めた症例

特定の部位に限局した骨欠損(垂直性骨欠損)が認められた症例では、骨の形態と周囲の骨の残存状態を評価し、歯周組織再生療法の適応と判断しました。
術前は骨が大きく失われていましたが、治療後には骨の回復(骨レベルの回復)が認められています。
また、5年以上の経過においても安定した状態を維持しています。
すべての骨欠損に再生療法が適応となるわけではなく、骨の形態に応じて治療法を選択することが重要です。
症例①と症例②のように、歯周病治療では骨の状態や原因に応じて治療法を選択することが重要です。
当院では以下の治療を組み合わせて行います。
上記 症例①(咬合調整)症例②(歯周再生療法)、ともに骨の状態に応じて治療法を選択しています。
単なる処置ではなく
再発しにくい環境を整えることが重要です。
保存が難しい場合には、適切な方法で機能回復を行います。
当院では
長期的な安定性とエビデンスを重視し、ストローマンインプラントを使用しています。
Q. 重度の歯周病でも歯は残せますか?
A. 状態によりますが、条件が揃えば保存可能なケースもあります。
Q. 抜歯と言われた歯は必ず抜くべきですか?
A. 必ずしもそうではありません。
歯周病における予後評価にはさまざまな考え方があり、
代表的なものの一つにGoodacreらの予後分類があります。その中でも、初診時には抜歯が必要と判断された歯が長期的に残っているケースが報告されています。
そのため、初診時の所見だけで一律に抜歯と判断するのではなく、治療への反応や経過も含めて総合的に判断することが重要です。
当院では
現在の状態だけでなく、治療への反応や経過も含めて総合的に判断しています。
麻布十番・赤羽橋で歯周病による抜歯に不安がある方は、一度ご相談ください。
※関連ページです。
抜歯と言われた歯は残せる?(判断基準はこちら)
むし歯が原因の場合は
むし歯で抜歯と言われた歯は残せる?(むし歯の場合はこちら)
根っこが原因の場合は
根管治療で抜歯と言われた歯は残せる?(根管治療の場合はこちら)
監修
曽根田歯科診療室 赤羽橋・麻布十番
院長 曽根田 皓士